StosswellentherapieWährend der Stoßwellentherapie steht eine Schallwelle von hoher Intensität in Wechselwirkung mit dem Körpergewebe. Dies führt zu einem Kaskadeneffekt günstiger Auswirkungen wie etwa der Neovaskularisation (Einwachsen von Blutgefäßen), der Abwendung von chronischer Entzündung, der Stimulation von Bindegewebsleim und der Auflösung von Kalkablagerungen. Die Stimulation von diesen biologischen Mechanismen schafft ein optimales Heilungsumfeld. Da der verletzte Bereich in den Normalzustand versetzt wird, ist die Funktionalität wiederhergestellt und der Schmerz bleibt aus.
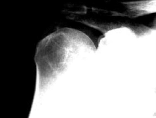
Höchst effektive SchmerzlinderungDie BTL Stosswellentherapie ist eine neue nicht-invasive Lösung für chronische muskuloskeletale Schmerzen. Extrakorporale Stosswellentherapie wird am häufigsten in der Physiotherapie, Orthopädie und Sportmedizin verwendet. Hauptsächliche Anwendungsgebiete sind die Behandlung von chronischen Muskel- und Sehnenerkrankungen, Rücken- und Nackenschmerzen. Zu den häufigsten Indikationen zählen: Schmerzen im Schulterbereich, Epikondylitis, Rückenschmerzen, Achillessehnenschmerzen, Patellasehnenentzündung, Triggerpunkte. Bei der Behandlung mit Stoßwellen werden akustische Wellen ins Gewebe geleitet, deren Energie schmerzhafte Stellen im Binde- oder Myoskeletalgewebe mit subakuten, subchronischen und chronischen Zuständen heilt. Diese Energie regt Heilungs-, Regenerations- und Reparaturmechanismen der Sehnen und des Weichteilgewebes an. Das BTL Stoßwellentherapie-Gerät ist das stärkste und kompakteste auf dem Markt erhältliche Stoßwellengerät. Anwendungen- Therapie von Schmerzen im Schulterbereich - Therapie vom Fersensporn (CALCAR CALCANEI, FASCIITIS PLANTARIS) - Therapie von Tennis Ellbogen (EPIKONDYLITIS RADIALIS/ULNARIS) - Therapie von Schmerzen der Achillessehne (ACHILLODYNIE)
Schnelle und anhaltende Schmerzlinderung• Einzigartige, nicht-invasive Behandlung von muskuloskeletalen Schmerzen Anwendungsgebiete• Orthopädie WirkungsweiseBei der Behandlung mit Stoßwellen werden akustische Wellen ins Gewebe geleitet, deren Energie schmerzhafte Stellen im Binde- oder Myoskeletalgewebe mit subakuten, subchronischen und chronischen Zuständen heilt. Diese Energie regt Heilungs-, Regenerations- und Reparaturmechanismen der Sehnen und des Weichteilgewebes an. Stoßwellen zeichnen sich durch einen sprunghaften Druckanstieg mit hoher Amplitude und nichtperiodischem Verlauf aus.
Die pneumatisch erzeugte kinetische Energie des Projektils wird auf den Transmitter am Ende des Applikators übertragen.
ANALGETISCHER EFFEKT – SCHMERZBEKÄMPFUNG ABBAU VON MUSKELSPANNUNG, HEMMUNG VON SPASMENHyperämie ist einer der Haupteffekte der Stoßwellentherapie im Körper. Sie führt zu einer besseren Energieversorgung der hypertonischen Muskeln und deren Sehnen. Außerdem wird die pathologische Interaktion zwischen Aktin und Myosin verringert. Dies führt zu einer Verminderung von Muskelspannung, die oft schmerzhaft für den Patienten ist. VERBESERTE AUSSCHÜTTUNG VON „SUBSTANZ P“Die Aktivität von Substanz P (Schmerzmediator und Wachstumsfaktor) führt zur Stimulation von afferenten nozizeptiven Fasern. Sie verbessert ebenso die Ödementwicklung und unterstützt die Sekretion von Histaminen. Die Reduzierung von deren Konzentration lindert den Schmerz im betroffenen Bereich und verringert die Entwicklung von Ödemen. Beschleunigung der HeilungERHÖHUNG DER COLLAGEN-PRODUKTIONDie Produktion von ausreichend Collagen ist eine notwendige Vorbedingung für den Gewebewiederherstellungsprozess. Die Stoßwellentherapie stimuliert Collagenherstellung in tieferen Gewebsschichten. VERBESSERTER METABOLISMUS UND MIKROZIRKULATIONDie Stoßwellentherapie beschleunigt die Entfernung von nozizeptiven Metaboliten, unterstützt Sauerstoffversorgung und versorgt das beschädigte Gewebe mit Energie. Es fördert die Entfernung von Histamin, Laktat und anderen nozizeptiven Stoffwechselprodukten, die meist sauren Charakters sind. WIEDERHERSTELLUNG DER BEWEGLICHKEITAUFLÖSUNG VON VERKALKTEN FIBROBLASTEN
Die Stoßwellentherapie löst die verkalkten Fibroblasten auf und beginnt anschließend die biochemische Entkalkung einer primären Exostose oder sekundären Symptomen von Arthrose
|
![]() |
Anmeldung fehlgeschlagen. Benutzername oder Passwort falsch.
© by Ole Bedey - Vahrenwalder Str. 146 - 30165 Hannover - Tel.: (0511) 350 76 23 - Bedey.Ole@t-online.de -
